1900 Morningside Dr Suite 201, Buford, GA 30518
[email protected]
(770) 932-1115

TLDR;

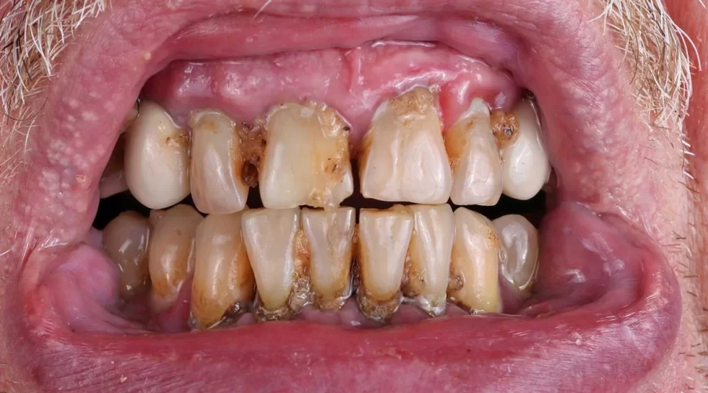
Drinking alcohol harms your teeth by causing enamel erosion, dry mouth, staining, gum disease, and even increasing oral cancer risk. Different drinks affect your mouth in different ways, but you can protect your teeth by choosing wisely, practicing good hygiene, and following preventive steps recommended by Buford Dentist.

Alcohol’s Impact on Dental Health

Drinking alcohol and your teeth are directly linked. Alcohol changes the pH in your mouth, dries it out, and creates the perfect environment for bacteria. These effects make enamel weaker, gums more prone to infection, and teeth more likely to stain.

Key effects include:

Enamel Erosion and Acidity

Enamel begins to dissolve when exposed to acid below pH 5.5. Many alcoholic drinks fall below this threshold.

Common drink acidity levels:

Acid exposure softens enamel. If you brush right away, enamel wears away faster. Over time, enamel thinning leads to sensitivity and higher risk of decay.

Dry Mouth and Saliva Reduction

Alcohol dehydrates the body and decreases saliva production. Saliva protects teeth by:

Without saliva, acids stay longer on the teeth, bacteria multiply, and enamel cannot recover as easily. This condition is called xerostomia, or dry mouth, and it is one of the strongest links between drinking and dental damage.

Sugar, Mixed Drinks, and Cavities

Sugar feeds bacteria in your mouth. Bacteria produce acids that attack enamel. Cocktails with soda, juice, or syrups are especially harmful because they combine sugar with acid.

High-risk examples:

These drinks coat the teeth in sugar and acid, raising cavity risk significantly.

Oral Cancer Risk

Ethanol in alcohol is metabolized into acetaldehyde, a compound classified as carcinogenic. Acetaldehyde damages DNA in oral cells. Combined with smoking, the risk multiplies.

Alcohol also weakens the immune system and makes tissues more sensitive to carcinogens. Long-term heavy drinking is one of the strongest predictors of oral and throat cancer.

How Alcohol Affects Your Teeth

Tooth Staining and Alcohol

Dark drinks stain enamel, especially when it is already softened by acid.

Once stains set in, only professional cleaning or whitening can remove them.

Gum Disease and Oral Hygiene

Alcohol irritates gum tissue and increases inflammation. Reduced immunity makes it harder for the gums to fight bacteria. The result is a higher risk of gingivitis and periodontitis.

Signs of gum disease to watch for:

If left untreated, gum disease leads to tooth loss.

Ranking Alcohols by Dental Risk

Not all drinks affect your mouth equally.

Myths About Alcohol and Teeth

Myth: Alcohol cleans teeth
Fact: Alcohol dries the mouth and encourages bacterial growth.

Myth: Brushing right after drinking prevents damage
Fact: Brushing softened enamel removes protective layers. Wait 30 minutes.

Myth: Moderate drinking has no effect
Fact: Even small amounts contribute to staining, dryness, and erosion.

Best Ways to Protect Teeth After Drinking

Before Drinking

During Drinking

After Drinking

Long-Term Habits

Effects of Alcohol on Oral Hygiene

Oral hygiene depends on consistency. Alcohol disrupts routine by weakening enamel and reducing saliva. People who drink often may also neglect brushing at night, which increases damage.

Daily practices that reduce alcohol’s effect:

Alcohol and Tooth Decay

Alcohol speeds up decay through three factors: acid, sugar, and dryness. Teeth without enamel protection develop cavities faster, especially along the gum line.

Signs of decay:

Practical Prevention Steps

Simple changes make a difference:

What Dentists Say About Alcohol and Oral Cancer Risk

Research shows a direct link between alcohol and higher oral cancer cases. Dentists warn that combining alcohol with tobacco raises the risk even further. Regular screening during check-ups is essential. Buford Dentist recommends oral cancer screening for adults who drink regularly, even if they show no symptoms.

Frequently Asked Questions

How long should you wait to brush after drinking alcohol?

Wait at least 30 minutes. Rinse with water first.

Which alcohol stains teeth the most?

Red wine and dark liquors stain the fastest.

Does beer harm teeth less than wine?

Yes, beer is less acidic, but frequent drinking still affects enamel.

Why does my mouth feel dry after drinking?

Alcohol reduces saliva flow, causing dryness.

Can alcohol lead to gum disease?

Yes, it irritates gums, reduces immunity, and increases risk of infection.

Effects of Alcohol on Dental Health Going Forward

Alcohol will continue to be a common social habit, but awareness of its impact on teeth is growing. More patients are asking about enamel erosion, staining, and cancer risk during check-ups. With preventive care and informed choices, people can enjoy drinks while protecting their oral health. Buford Dentist encourages patients to balance enjoyment with responsibility, ensuring that smiles stay strong and healthy.

Let’s Take Care of Your Smile

Name
This field is for validation purposes and should be left unchanged.
Buford logo
Gentle, Experienced Care for the Smile You Deserve
Monday - thursday: 8 AM - 5 PM
Friday - Saturday: Closed
Quick links
Service 1
Service 1
Service 1
Service 1
Service 1
Copyright © Buford Dentist. All rights reserved | Website by SERP Dental, a division of AscendPoint Agency.