TLDR;
Sweets damage teeth because sugar feeds bacteria in the mouth, which produce acids that erode enamel and cause cavities. The longer sugar stays on your teeth, the greater the harm, especially with sticky or frequent snacking. With the right habits, you can enjoy sweets while protecting your oral health.
How Sweets Damage Teeth — The Science Behind It
Sweets harm teeth by fueling bacteria in the mouth. These bacteria convert sugar into acid, which lowers the pH and starts dissolving enamel.
Key steps in the process:
- Sugar combines with oral bacteria.
- Acid forms almost immediately after eating sweets.
- The acid weakens enamel through demineralization.
- Plaque develops and hardens into tartar.
- Cavities form over time if acids keep attacking.
This process repeats with every exposure to sugar. If you snack on candy often, your teeth face continuous acid attacks with little time to recover.
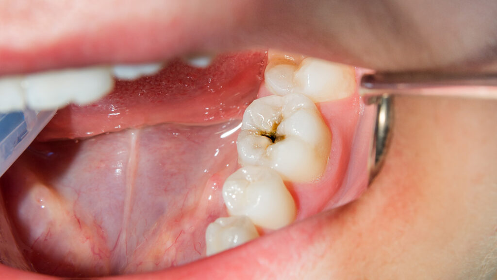
Enamel Erosion and Tooth Decay Causes
Enamel is the hard outer layer of your teeth. It protects the softer dentin beneath. Acid wears down enamel, and once lost, it does not grow back.
Tooth decay develops when:
- Enamel demineralization outpaces remineralization.
- Plaque traps acids close to the tooth surface.
- Saliva cannot neutralize acid fast enough.
Eventually, the enamel breaks down and cavities appear. If untreated, decay spreads to dentin and pulp, requiring more advanced dental treatment.
Effects of Sugar on Teeth: Immediate vs Long-Term
Sugar impacts teeth both right after eating and across years of frequent exposure.
Immediate effects:
- pH in the mouth drops within minutes.
- Enamel starts losing calcium and phosphate.
- Teeth may feel sensitive.
Long-term effects:
- Cavities and fillings.
- Tooth sensitivity and enamel thinning.
- Gum disease linked to plaque buildup.
- Possible tooth loss with untreated decay.
Types of Sweets and Their Risk Levels
Not all sweets harm teeth in the same way.
- Sticky candies: Caramel, gummies, and taffy cling to teeth and prolong acid exposure.
- Hard candies: Sit in the mouth longer, extending sugar-bacteria contact.
- Sour sweets: Contain both sugar and acid, delivering a double attack on enamel.
- Sugary drinks: Soda, sports drinks, and flavored teas coat all tooth surfaces with sugar and acid.
- Hidden sugars: Found in cereals, sauces, dressings, and even flavored yogurts.
Sweets that stay in the mouth longest tend to do the most damage.
Who Is Most at Risk
Certain groups are more vulnerable to the effects of sugar on teeth.
- Children: Baby teeth have thinner enamel, making them more prone to cavities.
- Teenagers: Higher sugar intake and inconsistent oral care habits increase risk.
- Adults with dry mouth: Less saliva means reduced acid neutralization.
- Seniors: Receding gums expose root surfaces, which decay more quickly than enamel.
- People with braces: Brackets and wires trap sugars, making cleaning harder.
Tooth Sensitivity and Early Warning Signs
Sensitivity is often the first sign sugar is harming your teeth. If cold or sweet foods cause sharp pain, enamel erosion may already be underway.
Other early warnings:
- White spots on teeth, showing early demineralization.
- Plaque buildup near the gumline.
- Mild but persistent toothaches after sweet snacks.
Early detection helps prevent severe decay.
Hidden Sugars in Everyday Foods
Many foods thought to be “healthy” still contain sugars that damage teeth.
Examples:
- Granola bars and flavored oatmeal.
- Fruit juices, smoothies, and energy drinks.
- Salad dressings and condiments like ketchup.
- Flavored coffees and teas.
Checking labels is key. Terms like sucrose, fructose, glucose, and corn syrup all mean added sugar.
Prevention and Mitigation Strategies
Smart Eating Habits
- Eat sweets with meals, not as snacks.
- Limit frequency of sugar exposure.
- Rinse with water after consuming sweets.
- Finish with cheese, nuts, or vegetables to neutralize acids.
Oral Hygiene Practices
- Brush twice daily with fluoride toothpaste.
- Floss once a day to remove trapped sugars.
- Wait 30 minutes after eating sweets before brushing.
- Visit your dentist regularly for a dental check up and professional cleanings to catch early signs of decay before they become serious.
Remineralization and Fluoride Protection
Fluoride strengthens enamel and helps reverse early damage.
Options include:
- Fluoride toothpaste and mouth rinses.
- Professional fluoride varnish from your dentist.
- Toothpaste with hydroxyapatite for added enamel support.
Saliva and Natural Defenses
Saliva neutralizes acids and repairs enamel. You support saliva flow by:
- Staying hydrated.
- Chewing sugar-free gum with xylitol.
- Eating crunchy vegetables to stimulate chewing.
Myths and Misconceptions About Sweets and Dental Decay
- Myth: Only sticky candy causes cavities. Truth: All sugars contribute to decay if bacteria feed on them.
- Myth: Brushing right after sweets is best. Truth: Acid softens enamel; brushing immediately may cause erosion.
- Myth: Natural sugar is safe. Truth: Honey, agave, and fruit juices also fuel bacteria and acid production.
- Myth: Chocolate is harmless. Truth: While less sticky than caramel, it still contains sugar that contributes to decay.
Which Sweets Are Worst for Tooth Decay
Worst offenders:
- Caramels and taffy that linger on teeth.
- Gummy candies that stick between teeth.
- Sour candies that add acid to sugar.
- Sodas and energy drinks that bathe teeth in sugar and acid.
Better alternatives:
- Dark chocolate, which clears from the mouth faster.
- Sugar-free gum sweetened with xylitol.
- Fresh fruit, paired with water, to reduce sugar’s impact.
Practical Steps from Buford Dentist
At Buford Dentist, we see the long-term impact of sweets on oral health every day. The most effective protection strategies include:
Taking these steps lowers the chances of needing fillings, root canals, or tooth extractions later.
FAQs About Sweets and Tooth Damage
How long do sweets affect teeth?
Acid attacks last about 20 minutes after eating. If you keep snacking, the cycle restarts each time.
Can sweets cause permanent enamel damage?
Yes. Once enamel is gone, it does not regrow. Preventive care is the only way to protect it.
Should you brush right after sweets?
No. Wait at least 30 minutes so enamel can reharden before brushing.
Are sugar substitutes safer?
Xylitol and other sugar-free alternatives do not produce harmful acids. They are less damaging to teeth.
Does chocolate hurt teeth less than candy?
Yes. Chocolate clears from the mouth faster than sticky candy, but it still contains sugar that feeds bacteria.
Dental Health and Long-Term Outcomes
If sugar exposure continues without prevention, the outcome is predictable:
Balancing sweet consumption with preventive care helps preserve your teeth for the long term.
Balanced Choices for a Healthier Smile
The truth about sweets and how they damage teeth is clear. Sugar feeds bacteria that attack enamel, leading to cavities and long-term oral health problems. But with smart habits, regular care, and professional guidance from Buford Dentist, you protect your teeth while still enjoying treats.
Choose sweets wisely, manage how often you eat them, and keep up with daily care. Your teeth will stay stronger, healthier, and pain-free for years to come.