TLDR;
With early diagnosis, proper treatment, and consistent oral hygiene, many people with periodontal disease can keep their teeth for life. However, without treatment, periodontitis can lead to tooth loss in a matter of years, depending on severity and personal health factors.
Tooth Retention with Gum Disease: What You Need to Know
Periodontal disease, also known as gum disease, is one of the leading causes of adult tooth loss—but it doesn’t have to be. At Buford Dentist, we’ve seen firsthand how timely intervention and diligent care can help patients maintain their natural teeth for decades, even after a diagnosis of periodontitis.
What Is Periodontal Disease?
- A chronic inflammatory disease affecting the gums and bone supporting the teeth.
- Starts as gingivitis (gum inflammation) and can progress to periodontitis (bone loss and tissue destruction).
- It's often painless until the damage becomes advanced.
How It Develops
- Stage 1: Gingivitis – Red, swollen gums that bleed easily. Still reversible.
- Stage 2: Early Periodontitis – Gum pockets form; minor bone loss begins.
- Stage 3: Moderate Periodontitis – Increased pocket depth; tooth mobility may begin.
- Stage 4: Advanced Periodontitis – Severe bone loss, loose teeth, potential tooth loss.
Periodontitis Tooth Loss Timeline
The timeline of tooth loss varies based on disease progression and patient response.
Without treatment:
- Early-stage: Teeth may remain for several years, but deterioration is ongoing.
- Moderate stage: Noticeable bone loss may lead to tooth loss in 3–5 years.
- Advanced stage: Teeth can become loose and fall out or require extraction within 1–3 years.
With treatment:
- Many patients can retain their natural teeth for decades.
- Disease can be slowed or halted.
- Regular care can prevent further damage.
Factors That Influence Tooth Retention
1. Severity and Stage of Disease
- The more advanced the disease, the more difficult it is to preserve the teeth.
- Early-stage disease is much easier to control.
2. Effectiveness of Treatment
- Prompt treatment such as scaling and root planing can significantly slow progression.
- More advanced cases may require surgery or restorative options.
3. Commitment to Oral Hygiene
- Daily brushing and flossing are non-negotiable.
- Use of antimicrobial rinses can reduce harmful bacteria.
- Regular professional cleanings are critical—not just for fresh breath or aesthetics, but for halting the progression of gum disease. If you’ve been diagnosed with periodontitis, your dental cleaning frequency may need to increase to every 3–4 months rather than the typical biannual visits. This schedule helps control bacteria and inflammation that contribute to bone loss.
4. Systemic Health Conditions
- Diabetes: Poorly controlled diabetes worsens gum disease.
- Smoking: Reduces blood flow to gums and delays healing.
- Genetics: Some individuals are more predisposed to gum issues.
Managing Periodontal Disease with Professional Care
At Buford Dentist, we tailor treatments based on the stage of the disease and your overall health profile. These treatments include:
Non-Surgical Treatments
Scaling and Root Planing
- Deep cleaning below the gumline.
- Removes plaque and calculus from roots.
- Often the first line of defense.
Antibiotic Therapy
- Local or systemic antibiotics may be prescribed.
- Helps reduce bacterial load in deep pockets.
Surgical Treatments
Flap Surgery
- Lifts gums to remove deep plaque and tartar.
- Reduces pocket depth and improves gum attachment.
Bone Grafts and Guided Tissue Regeneration
- Stimulate regrowth of lost bone and tissue.
- Often used in severe cases to prevent tooth loss.
Soft Tissue Grafts
- Address gum recession.
- Cover exposed roots and reduce sensitivity.
Preventing Tooth Loss from Periodontitis
You can greatly reduce your risk of tooth loss by committing to these strategies:
Periodontal Maintenance Strategies
- Dental check-ups every 3–4 months after initial treatment.
- Professional cleanings to remove buildup.
- X-rays to monitor bone levels.
At-Home Care
- Brush at least twice daily with a soft-bristle toothbrush.
- Use interdental brushes or floss daily to clean between teeth.
- Consider an electric toothbrush for better plaque removal.
- Use mouth rinses containing chlorhexidine or essential oils.
Lifestyle Changes
- Quit smoking – smoking triples the risk of tooth loss.
- Control diabetes – uncontrolled blood sugar accelerates disease.
- Eat a balanced diet – nutrients like Vitamin C support gum healing.
Advanced Periodontal Disease Treatment: Options When Teeth Are at Risk
In some cases, despite all efforts, tooth loss may be inevitable. In these situations, modern dentistry offers highly effective solutions.
Tooth Replacement Options
- Dental Implants: Titanium roots placed in the jawbone with a crown on top. Feels and functions like a natural tooth.
- Fixed Bridges: Artificial teeth anchored to adjacent natural teeth.
- Partial Dentures: Removable replacements for multiple missing teeth.
These options restore function, prevent neighboring teeth from shifting, and support facial structure.
Long-Term Outlook: What to Expect When Managing Periodontal Disease
With Proper Management
- Many patients live their entire lives with most, if not all, of their natural teeth.
- Tooth retention is realistic with discipline and professional support.
Without Treatment
- Gum disease becomes progressively worse.
- Teeth become mobile and fall out.
- May require extensive restorative procedures later.
Scaling and Root Planing Effectiveness
Let’s revisit this core non-surgical treatment. Scaling and root planing (SRP) is often underestimated, but it remains the gold standard for early to moderate periodontitis.
Why SRP Works
- Removes bacteria from below the gumline.
- Promotes healing of gum tissue.
- Can reduce pocket depth by up to 2–3 mm.
What to Expect
- Some soreness for a few days.
- Re-evaluation 4–6 weeks later to check pocket depth reduction.
- Follow-up cleanings every 3–4 months.
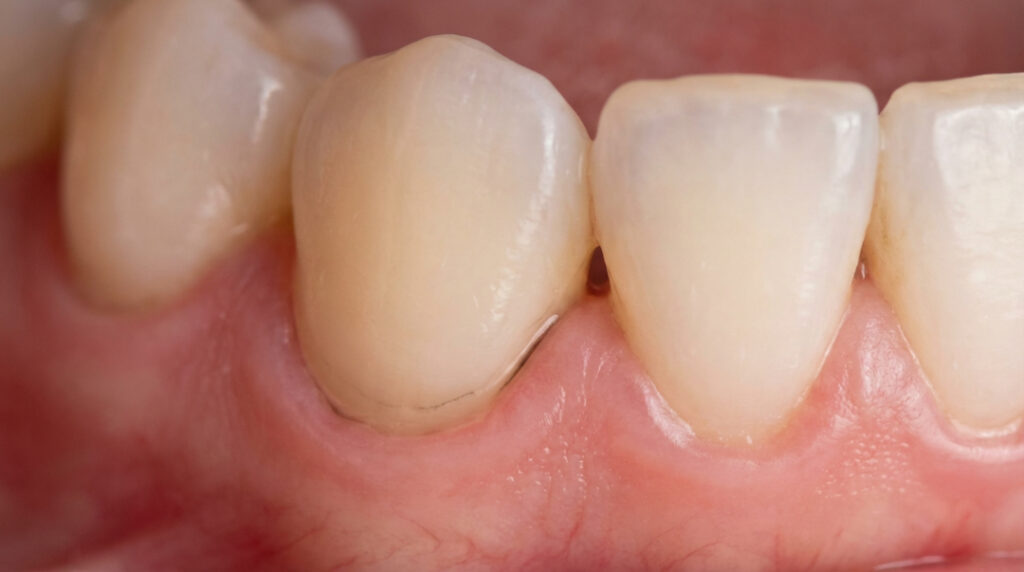
Gum Recession and Bone Loss: Are They Reversible?
While the effects of periodontal disease can be managed, some damage may not be fully reversible.
Gum Recession
- Often permanent.
- Gum Recession
Often permanent, and in severe cases, it may jeopardize the stability of your teeth. Can gums recede enough to lose teeth? Absolutely—especially when left untreated.
- Grafting may help restore coverage.
Bone Loss
- Regeneration is possible in some cases using bone grafts.
- More successful when done early.
Tooth Mobility: When Should You Worry?
Tooth mobility is a red flag that the supporting structures are failing. However, not all mobility means the tooth is lost.
Causes
- Loss of bone support.
- Inflamed periodontal ligaments.
- Recent trauma or grinding.
Treatment Options
- Splinting mobile teeth to adjacent stable ones.
- Removing inflammation through SRP or surgery.
- Bite adjustment to reduce pressure.
Preventing Future Problems: What Buford Dentist Recommends
We always tell our patients: once you've had periodontal disease, you’re at higher risk for recurrence. That’s why consistent Professional Dental Cleaning & Exams are critical for prevention and long-term health.
Our Best Tips
-
- Don’t skip appointments—even if everything feels fine.
- Let us know about systemic health changes (e.g., diabetes diagnosis).
- Ask questions—we’re here to help you keep your teeth for life.